Caso clínico que deve chamar atenção do nefrologista para um diagnóstico diferencial importante em pacientes com carcinoma de células renais (caso disponível no NephSap (**[link aqui](https://www.asn-online.org/education/nephsap/volumes/images/v7n4/images.aspx?ID=36&i=A|B#prettyPhoto)**)
Paciente com antecedentes de carcinoma de células renais claras ressecado previamente, apresenta em exame de controle a seguintes imagens.
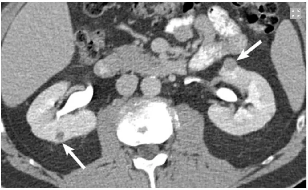
Na imagem 1: Um pequeno tumor exofítico com realce se projetando a partir da face anterior do polo superior do rim esquerdo (seta). Além disso, há uma lesão de 4 mm na face posterior do rim direito. Paciente foi submetido à enucleação cirúrgica da lesão renal esquerda. O tumor renal direito foi tratado com ablação por radiofrequência.
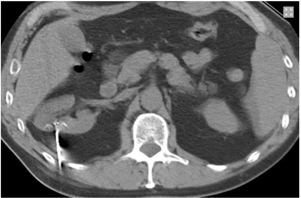
Na imagem 2 é possível identificar a sonda de radioablação.

Nos pacientes múltiplos tumores renais devemos suspeitar imediatamente de Doença de Von-Hippel Lindau, nesses casos devemos procurar tratamentos que visem poupar massa renal, uma vez que a recorrência dos tumores é a regra.
Quando suspeitar de um paciente com Doença de Von-Hippel Lindau?
* Diagnóstico carcinoma de células renais claras (CCR) com idade <40 anos
* CCR múltiplos e/ou bilaterais
* Feocromocitoma diagnosticado com idade <40 anos
* Feocromocitoma múltiplos e bilaterais
* História familiar ou pessoal de feocromocitoma
Confere essa tabela do UpToDate com os critéricos diagnósticos:
